Molecular and cytogenetic changes involved in the immortalization of nasopharyngeal epithelial cells by telomerase (the link to NCBI)
2010/11 (YJC)
AC301 To test the infectivity of Akata-p2089 on NP460hTERT cells
2011/08 李宜津
AC581 Trial of KGM-2 comparing to DKSFM/EpiLife medium on NP460hTert culture
AC582 Gradient [Ca2+] treatment on NP460hTert (in KGM-2 medium), morplology (trial 1)
AC589 Gradient [Ca2+] treatment on NP460hTert (in KGM-2 medium), morplology (trial 2)
AC605 NP460hTert differentiation test – TGF-b1m ATRA
AC606 Gradient [Ca2+] treatment in KGM-2 medium for culturing NP460hTert – live camera, trial 3 and 4
2011/09 莊富揚
AC623 Check p63 expressionin TGFb-treated NP460hTert cells
AC706 Trizol purification of total RNA of NP460hTERT (so we have RNA for this cell!!)
AC952 To analyze the effect of PEG/NaCl on extracting RNA from NP460hTert
AE011 Primary infection of akata-EBV in NP460hTert (Trial V)
AE015 TW01-ERGV (p3) from Dr. 張堯
AE016 IFA assay of Dox-treated TW01ERGV-62
AE042 Establishment of NP460hTert-akata EBV cell lines



2012/01 (YJC)
AC768 Akata infection (NP460 and HEK293 cells)
2012/03 (YCK)
AC860 Photography of NP460TetR #7/8 pool (p3) in different media
AC861 The morphological changes of NP460TetR pool treated with DMEM and FBS
AC862 The optimal Zeocine concentration to kill NP460TetR pool
AC863 Optimalization of procedures for NP460TetR-pLenti4-Flag-EGFP infection
AC870 Establishment of NP460TetR-Luc, EBV Rta, cZ, Rta/cZ stable clones
2012/06 (莊富揚)
AC933 Virus infection (EBV infect NP460 cell) & test different conc. TGF-beta treatment for cell differentiation
2012/06 (YCK)
AC933 Virus infection (EBV infect NP460 cell) & test different conc. TGF-beta treatment for cell differentiation
AC950 p63 WB of NP460hTert treated with different conc. of TGF-beta
AC951 To test the WB efficiency of anti-ER(1-320aa) rabbit Ab from 濁水溪
AC952 To analyze the effect of PEG/NaCl on extracting RNA from NP460hTert
AC957 Primary infection of akata-EBV in NP460hTert (Trial II)
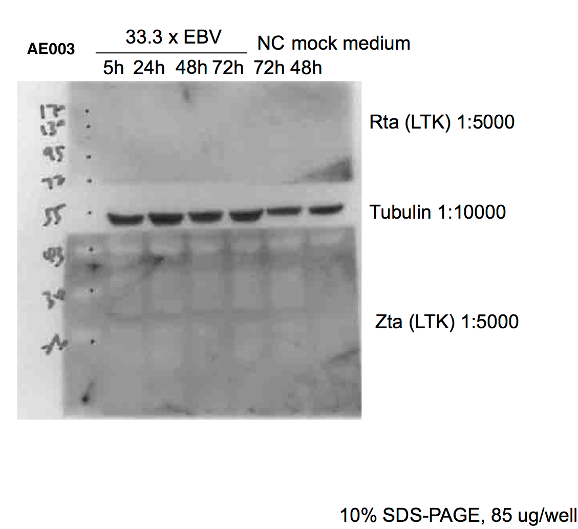
AE003 Primary infection of akata-EBV in NP460hTert (Trial III)
AE005 Primary infection of akata-EBV in NP460hTert (Trial IV)
AE011 Primary infection of akata-EBV in NP460hTert (Trial V)
2012/08 (YCK)
AE042 Establishment of NP460hTert-akata EBV cell lines
AE043 Primary infection of akata-EBV from TW01ERGV in NP460hTert (Trial VI)
AE063 IP assay of NP460hTert infected by akata-EBV (Failed)
2014/03 (YLC)
AE371 SA-b-Gal and DAPI staining of NP460_hTERT cells
2014/?? (YCK)
AE384 Culture NP460hTert with KSFN medium only (protocol as OKB2 cells)
AE396 Infection with akata-EBV in NP460hTErt or OKB2 cells for 6h, 12h, 24h, 48h and 7 days
2014/04 (YCK)
AE600 The effect of TGF-beta1 treated with NP460hTert prior to being infected with 25x akata-EBV
AE601 The infection of 50x or 100x akata-EBV in NP460hTert
2014/09 (YCK)
AE603 The infection of 45x or 70x akata-EBV in OKF4, OKF4hTert and NP460hTert
AE606 Doubling time of OKB2, OKF4, OKF4hTert, NP460hTert, U-937 and THP-1 cells
2015/04-2015/08 (YCK)
AE632 Thaw and culture OKF4hTert, K2 and NP460hTert with Rheinwald lab’s method
AE633 Arecoline and glutathione treatment of OKF4hTert, K2 and NP460hTert cells
AE634 WST-1 assay of OKF4hTert and NP460hTert treated with glutathione, EGCG and 5-methyl THF, respectively
AE635 Arecoline and glutathione treatment of OKF4hTert, K2 and NP460hTert cells (K2 cell failed)
AE636 The influence of centrifuge speed of OKF4hTert, K2and NP460hTert cells
AE641 Screening arecoline-resistance clones of K2, NP460hTERT and OKF4TERT
2016/01-present (YJC)
AE923 culture method for NP550hTert cell line
AE931 Primary infection of EBV in NP550hTert and NP460hTert cells. (trial 1)
AE931 Primary infection of EBV in NP550hTert and NP460hTert cells. (trial 1)
AE934 Establishment of NP460hTertLucGFP and NP550hTertLucGFP cells
AE935 Primary infection of EBV in NP550hTert and NP460hTert cells. (trial 2)
AE936 Primary infection of EBV in NP550hTert and NP460hTert cells. (trial 3) (coating O/N)
AE937 Primary infection of EBV in NP550hTert cells. (trial 4) (coating O/N, 12-well)
AE938 Establishment of NP460-EBV
AE940 IF assays of viral proteins in EBV primarily-infected NP550hTert cells. (Trial 1)
AE943 IF assays of viral proteins in EBV primarily-infected NP550hTert cells. (Trial 2)
AE944 IF assays of viral proteins in EBV primarily-infected NP550hTert cells. (Trial 3)
AE947 IF assays of viral proteins in EBV primarily-infected NP550hTert cells. (Trial 3)
——下面是ELN的二則po文—-搬來搬去, SF你真是有夠煩——–
2014/04/03 by mmiiee關於EBV infection的實驗, 以下是我的構想, 歡迎大家提供意見討論!
2014/04/02 sufang : 想不想把 TGF-b1 那一步拿掉? 我建議加一個6 h, 去掉72 h, 然後10天改為7天
2014/04/02/ mmiiee : from Dr. Chang 紀錄一下
- 重現之前high GFP(+) rate的實驗(穩定/確定條件)(30 % is good)
- 觀察GFP何時開始亮? GFP(+)細胞有無/何時分裂?
- control做好 (eg, UV-inactivated virus)
2014/04/03 mmiiee: 60~70% confluence細胞數 (in 6-well plate)
OKB2: 2×10^5/well
NP460hTert: 2.1~2.2 x10^5/well (ingrid noted)
- sufang: What about p21 and SFN、有p63也很不錯!, 另外、妳有LANA的PCR primer嗎? 有RCR, LCR那附近的gene primer嗎? thanks.
- mmiiee: 手上有的…p21, SFN, EBNA1(LCR), BKRF3, BKRF4(RCR), BHLF1, BHRF1(oriLyt)都有primer 剩下p63待設計!
- sufang: well, 那就不ㄧ定要p63
- natsumi : AC550 根據AC550 EBV infect into TW05,有加TGFb還是有差的,尤其是在濃縮病毒情況下。
- 1xSup -TGFb: 5.4% ==> +TGFb: 7.6%
- 10xSup -TGFb: 22% ==> +TGFb: 34%
- sufang : 可是、從來也沒有過只有1.1%這麼差呀! 難道culture medium也很有關係? drop 太多了,令人擔心…
- sufang: 加錯medium的問題 (1): 那Infection時,都還是在有10%FBS的情況下吧? (2): 可以請natsumi comment一下有沒有CO2真的會影響嗎? –> 在這講求省電環保的時代裡,為了一個可能不會影響太多的assay, 特別去開一個incubator實在很不環保啊. 知道為什麼要在沒有CO2的狀態下asasy嗎? thanks.
- ingrid : 那Infection時,還是在有10%FBS的情況下。(DF-K+ 10%FBS)
- natsumi: Sigma出的senescence kit上面有說明,如下 Note: The staining of senescent cells is pH dependent. Therefore, the cells cannot be incubated in a CO2 enriched atmosphere during the staining step. 其實之前在細胞培養箱染也沒有什麼問題,要解決的話,就放在細菌培養箱,周邊用Parafilm封好避免乾掉就好了。
- sufang: 周邊用Parafilm封好? 那放在原來有CO2的incubator不是也可以杜絕CO2進去? 就這樣子辦吧! 大家意下如何?
2014/04/11 ingrid: 部分結果出爐
2014/04/24 sufang: 來試寫一份我們家感染上皮細胞的Protocol怎麼樣? Ingrid: 是你將功贖罪的大好時機呦!! 你可以署名 「AMO」。
2014/04/28 ingrid: Rta蛋白質在EBV感染OKB2後有表現出來喔!!
- sufang: 讚! 濁水溪的Zta抗體好嗎? 我們沒有4F10了嗎? 同理,Argene的Rta比濁水溪的Rta好嗎? 張堯老師對我們的homemade Rta抗體真是讚不絕口。
- ingrid: 重新strip後,Zta抗體(4F10)及濁水溪的Rta皆沒有band。
- mmiiee : AC619_film 附上之前做HEK293 cells的結果與之比較(Akata EBV infected HEK293 cells for 48 hrs) Rta和Zta的size都比預期小(預期Rta約95 kDa, Zta約36 kDa), 這張blot出現的Rta約85 kDa, Zta約32 kDa和27 kDa
2014/05/15/2014 ingrid: Zta蛋白質在感染後的48h有偵測到,且size如預期大小一樣約為36kDa
- mmiiee : 抗體&時間點. NP460是不是沒希望啦, 50% positive還是測不到R/Z的話(還是來測測看EBNA1, 會不會全部都走latent去了?)
- 在OKB2這組實驗裡感覺Rta要用Argene比LTK更加sensitive, Zta用4F10比LTK好.
- Zta若一樣用75 ug/lane搞不好也可以在24h偵測到.
- 另外, 若用IF(免疫螢光染色)的話, 就可以區分GFP(+)到底走latent或lytic了!
- OKB2真是酷斃了! 可惜不是NP細胞 (嘆)
- sufang: LTK的抗體是兔子來的, 所以blocking時加入BSA是不是可以減少background? Cell Signaling或是Santa Cruz的兔子抗體,有沒有類似的建議 ?
2014/05/16 sufang 若能區分 latent vs lytic infection…
那就太好了, 我們現在有幾個點要釐清:
1. NP460hTert的50%感染率要能reproducible
2. hTert, the human terlomerase, 會不會幫助EBV走latency (if so, OKF4-hTert就會和NP460hTert一樣,只能感染卻測不到Z或R, 另外,maruko看到的那個primary NP cell就很值得購買)
3. NP cell vs oral keratinocyte是不是先天就有差。想像 DA Thowerly-Lawson大師提過EBV如何在口腔部細胞長成active lytic replication的plaque。相反的, NPC這邊多是latency狀態居多。
2014/04/23 ingrid: EBV Infection-II
2014/04/28 ingrid: 雖然細胞培養在不對的培養液中,但病毒綠光感染率仍有13% (w/TGF-b1)。
2014/04/29
- sufang: 恭喜, 但不懂.. 這次不是改正成養在正確的medium中了嗎? 妳是說infection前細胞都是養在DF-K的意思嗎? Infection 時細胞density仍然小於70%嗎?
- mmiiee: 幫忙回答: 完全正確的medium還沒有做喔, 這次實驗seeding下去仍發現很多漂的細胞, 加了TGF-b隔天選了一個接近70%的滿度做infection, 是做了infection之後才發現medium是錯的
- ingrid: 謝謝mmiiee的幫忙回答, 沒錯,是做了infection的當天下午,才想到medium是錯的……….
2014/05/05 ingrid: WB結果顯示測不到Rta及Zta蛋白質的表現
2014/05/05 ingrid : AE601





























