關於EBV infection的實驗, 以下是我的構想, 歡迎大家提供意見討論!
目前預訂
2014/04/03 recover NP460hTert
2014/04/07 seed cells / concentrate virus
2014/04/08 infection
以上
2014/04/07 seed cells / concentrate virus
2014/04/08 infection
以上
#2由 ingrid 在 一, 04/28/2014 – 16:39 發表。
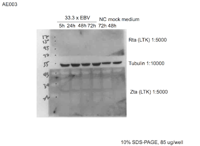
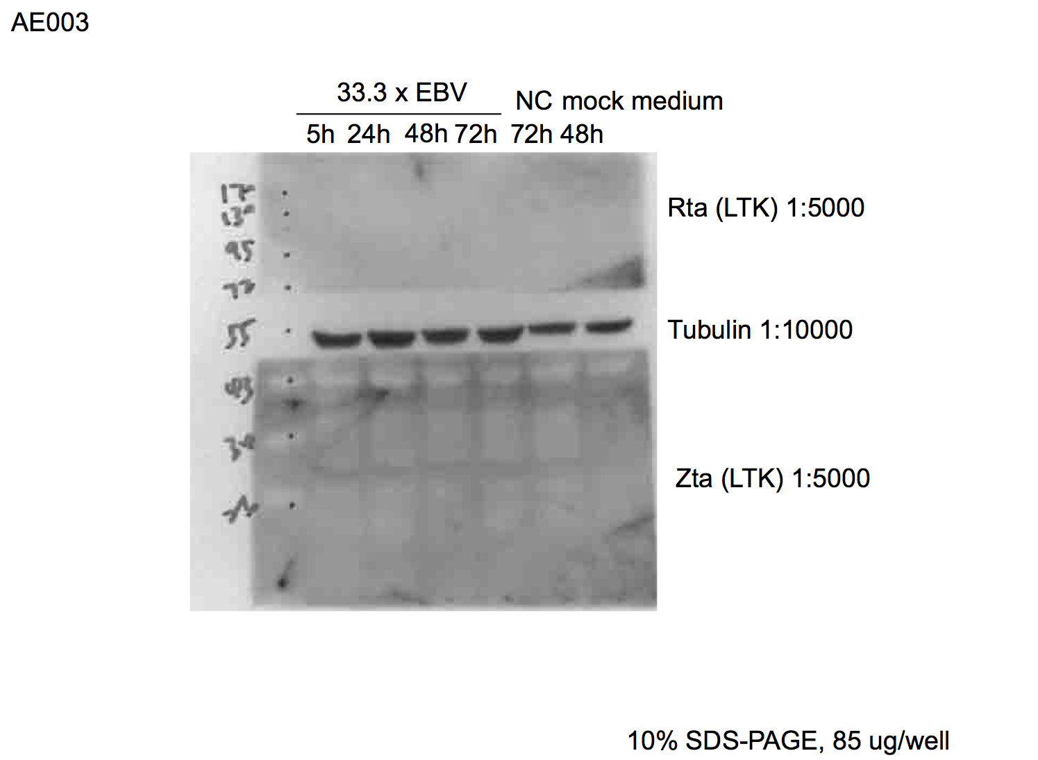
Rta蛋白質在EBV感染OKB2後有表現出來喔!!
#3由 sufang 在 一, 04/28/2014 – 16:46 發表。
讚!
濁水溪的Zta抗體好嗎? 我們沒有4F10了嗎? 同理,Argene的Rta比濁水溪的Rta好嗎? 張堯老師對我們的homemade Rta抗體真是讚不絕口。
#4由 ingrid 在 一, 05/05/2014 – 14:41 發表。
重新strip後,Zta抗體(4F10)及濁水溪的Rta皆沒有band。
#5由 mmiiee 在 一, 04/28/2014 – 16:41 發表。
AC619_film
附上之前做HEK293 cells的結果與之比較(Akata EBV infected HEK293 cells for 48 hrs):
Rta和Zta的size都比預期小(預期Rta約95 kDa, Zta約36 kDa), 這張blot出現的Rta約85 kDa, Zta約32 kDa和27 kDa
#7由 mmiiee 在 四, 05/15/2014 – 21:13 發表。
抗體&時間點
NP460是不是沒希望啦, 50% positive還是測不到R/Z的話(還是來測測看EBNA1, 會不會全部都走latent去了?)
在OKB2這組實驗裡感覺Rta要用Argene比LTK更加sensitive, Zta用4F10比LTK好.
Zta若一樣用75 ug/lane搞不好也可以在24h偵測到.
另外, 若用IF(免疫螢光染色)的話, 就可以區分GFP(+)到底走latent或lytic了!
OKB2真是酷斃了! 可惜不是NP細胞 (嘆)
#8由 EVKVLIN 在 五, 05/16/2014 – 16:04 發表。
LTK的抗體是兔子來的
所以blocking時加入BSA是不是可以減少background?
Cell Signaling或是Santa Cruz的兔子抗體,有沒有類似的建議 ?
#9由 EVKVLIN 在 五, 05/16/2014 – 15:59 發表。
若能區分 latent vs lytic infection…
那就太好了(若能區分 latent vs lytic infection)。
我們現在有幾個點要釐清:
1. NP460hTert的50%感染率要能reproducible
2. hTert, the human terlomerase, 會不會幫助EBV走latency (if so, OKF4-hTert就會和NP460hTert一樣,只能感染卻測不到Z或R, 另外,maruko看到的那個primary NP cell就很值得購買)
3. NP cell vs oral keratinocyte是不是先天就有差。想像 DA Thowerly-Lawson大師提過EBV如何在口腔部細胞長成active lytic replication的plaque。相反的, NPC這邊多是latency狀態居多。
#10由 EVKVLIN 在 四, 04/24/2014 – 16:35 發表。
來試寫一份我們家感染上皮細胞的Protocol怎麼樣?
Ingrid: 是你將功贖罪的大好時機呦!! 你可以署名 「AMO」。
____________________頁2________________
#1由 ingrid 在 三, 04/23/2014 – 09:52 發表。
我做錯了~
在seeding細胞到plate所用的培養液用錯了,本來應該是DF-K/KSFM,但只使用DF-K培養液。我想這樣解釋為什麼這麼多細胞都不貼的原因,另外也解釋丸子說種OKB2細胞隔天會有6分滿而我只有3-4分滿的原因。
還有進行cell senescence實驗時,會不會是因為只養在DF-K培養液裡面10天,而造成細胞生長停滯及SA-beta-Gal assay陽性反應的原因嗎???
關於Day9所做的SA-beta-Gal assay
4/17星期四將細胞依照步驟固定後,放置於染色液中,因說明書要求放在37度培養箱w/o二氧化碳,所以放置於養菌培養箱過夜。
4/18星期五就是隔天來發現乾掉了!!!!!!補加新的染色液,放於37度培養箱w/二氧化碳(=細胞培養箱)。
4/20星期天就是隔二天由YLC幫忙將已被染色的細胞保存於glycerol中。 (此時幾乎100%的細胞都有染成藍色=positive)
4/21星期一將細胞拍照存檔。
PS後來發現我的說明書為新版有建議要求放在37度培養箱w/o二氧化碳,但舊版也就是YLC之前用的並無此建議(=之前SA-beta-Gal assay皆是在細胞培養箱完成),以後應該會借用陳家的細胞培養箱w/o二氧化碳來進行實驗。
#2由 EVKVLIN 在 四, 04/24/2014 – 11:21 發表。
加錯medium的問題
(1): 那Infection時,都還是在有10%FBS的情況下吧?
(2): 可以請natsumi comment一下有沒有CO2真的會影響嗎?
—————-
在這講求省電環保的時代裡,為了一個可能不會影響太多的assay, 特別去開一個incubator實在很不環保啊. 知道為什麼要在沒有CO2的狀態下asasy嗎? thanks.
#3由 ingrid 在 四, 04/24/2014 – 15:06 發表。
回應
那Infection時,還是在有10%FBS的情況下。(DF-K+10%FBS)
#4由 natsumi 在 四, 04/24/2014 – 11:52 發表。
回應
Sigma出的senescence kit上面有說明,如下
Note: The staining of senescent cells is pH dependent. Therefore, the cells cannot be incubated in a CO2 enriched atmosphere during the staining step.
其實之前在細胞培養箱染也沒有什麼問題,要解決的話,就放在細菌培養箱,周邊用Parafilm封好避免乾掉就好了。
#5由 EVKVLIN 在 四, 04/24/2014 – 16:31 發表。
周邊用Parafilm封好?
那放在原來有CO2的incubator不是也可以杜絕CO2進去? 就這樣子辦吧! 大家意下如何?
|
#6由 sufang 在 五, 04/11/2014 – 10:29 發表。 真的假的?NP460hTert 沒有TGFb差這麼多嗎? 要不要下週再加做一組有TGFb overnight 的control (NP460hTert就好). 看看能不能重復去年的結果?
|
|
#7由 natsumi 在 五, 04/11/2014 – 13:04 發表。 AC550根據AC550 EBV infect into TW05,有加TGFb還是有差的,尤其是在濃縮病毒情況下。
1xSup -TGFb: 5.4% ==> +TGFb: 7.6%
10xSup -TGFb: 22% ==> +TGFb: 34%
|
|
#8由 sufang 在 五, 04/11/2014 – 13:24 發表。 可是、從來也沒有過只有1.1%這麼差呀! 難道culture medium也很有關係? drop 太多了,令人擔心…
|
#9由 mmiiee 在 三, 04/09/2014 – 11:14 發表。
目前想看的gene與protein
我想看的gene有: Rta, Zta, MYC, CCND1, JUN, CDK6, CTCF
protein有: Rta, Zta
還有什麼其他想看的嗎?
|
#10由 EVKVLIN 在 三, 04/09/2014 – 11:30 發表。 What aboutp21 and SFN、有p63也很不錯!
另外、妳有LANA的PCR primer嗎? 有RCR, LCR那附近的gene primer嗎? thanks.
|
____________________頁3________________
|
#1由 mmiiee 在 三, 04/09/2014 – 13:49 發表。
手上有的…p21, SFN, EBNA1(LCR), BKRF3, BKRF4(RCR), BHLF1, BHRF1(oriLyt)都有primer
剩下p63待設計!
|
|
#2由 EVKVLIN 在 三, 04/09/2014 – 15:43 發表。 well…那就不一定要p63.
|
#3由 mmiiee 在 四, 04/03/2014 – 10:45 發表。
細胞數
補充60~70% confluence細胞數:
OKB2: 2×10^5/well in 6-well plate
NP460hTert: (請YCK補充, 感恩!)
#4由 ingrid 在 四, 04/03/2014 – 16:34 發表。
細胞數
NP460hTert: 2.1~2.2 x10^5/well in 6-well plate
#5由 EVKVLIN 在 四, 04/03/2014 – 13:12 發表。
看不到下則回應的圖的人..
請使用FireFox或KKMAN瀏覽器。IE據說會出現一堆XX~Sorry.
來po一下ingrid日前(12/11/2013)給我的整理檔案 |
Slide 1
Slide 2
Slide 3
![]() |
| Slide 7 |
![]() |
| Slide 8 |
![]() |
||||||||||
| Slide 18
#7由 mmiiee 在 三, 04/02/2014 – 14:53 發表。
from Dr. Chang紀錄一下 1. 重現之前high GFP(+) rate的實驗(穩定/確定條件)(30 % is good!) 2. 觀察GFP何時開始亮? GFP(+)細胞有無/何時分裂? 3. control做好 (eg, UV-inactivated virus) #8由 sufang 在 三, 04/02/2014 – 15:33 發表。
應該來建議..仲彥他們發展類似LINE的錄音檔案,講完mp3直接上傳上來! 咦,那個YouTube icon是做什麼用著?
#1由 natsumi 在 四, 04/03/2014 – 12:52 發表。
真的只有IE不可以看到圖~as title換瀏覽器就OK了 and 個人檔案也可以自己編輯文章 |


























